近日,疫情管控放开后,不少人被感染成了“阳过”。康复后会不会留下肺部纤维化、味觉和嗅觉功能减退等后遗症?这些天,我们很多人和新冠肺炎切切实实过招后,都有一个很明显的感受:历经高烧之后,体温虽然正常了,但身体各个器官还非常脆弱,整个人有种前所未有的疲惫感和不适感。这样一想,就明白为啥老年人和患有基础疾病的人,感染后境遇非常凶险了。假如,你身体原本病灶就比较多,病毒就使劲儿进攻你的脆弱部分,那部分被攻陷,导致你整个免疫系统都瘫痪了。 近期部分奥密克戎轻症病例显示,大部分病人5到7天就可以核酸转阴,七天以上转阴的只有10%。而重症意味着引起死亡的潜在可能,包括基础病的加重(如肿瘤、脑出血、脑梗、肝硬化、尿毒症等)。“我们也看到大量病人的重症确实是由于病毒性肺炎造成,多发生在脆弱人群,比如65岁以上老人、肥胖、合并基础疾病、肿瘤、免疫缺陷等,但最可怕的是,没有明显基础病的病人,也可以引起奥密克戎病毒性肺炎。”在曹彬分享的四个奥密克戎病毒性肺炎病例中,就有一位50岁无明显基础疾病的男性,还有一位48岁男性接种过三针疫苗,但有肥胖和十年高血压病史。
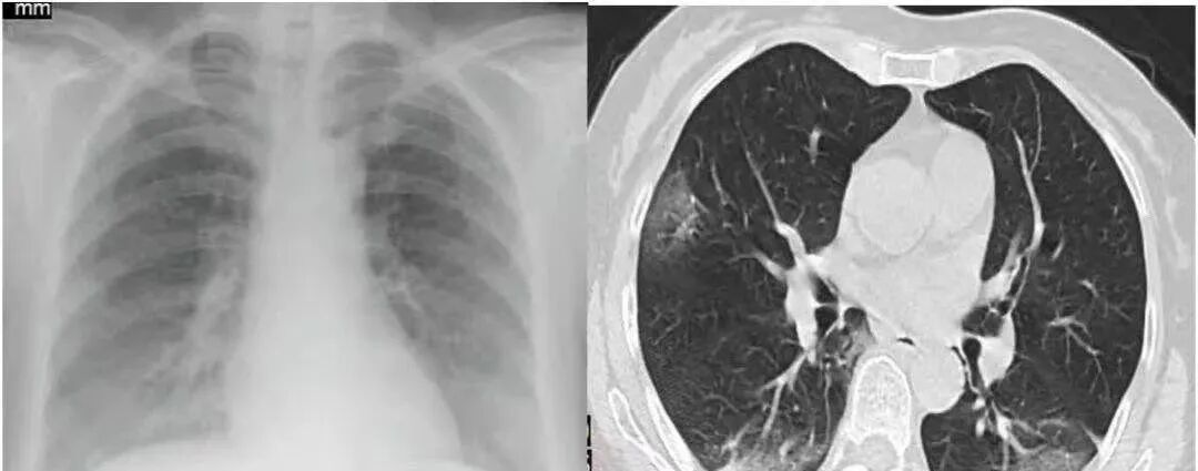
对此,建议痊愈的患者,应该给自己安排一个后续病情追踪,才不怕自己的健康被潜在危害杀个措手不及!检查肺部损伤:新冠病毒曾经影响过肺部健康以及呼吸道,所以患者康复后仍会有咳嗽、呼吸困难等状况。所以应安排一个肺部CT,新冠肺炎特征为以肺外周分布为主的肺多发磨玻璃阴影或者实变影,后期可出现肺纤维化病变,肺CT能够准确判断新冠肺炎是否对肺部造成伤害和遗留问题等。

检查肝肾功能:新冠病毒除了损伤肺部、大脑之外,肝脏、肾脏损伤也是大多数病患者留下的后遗症之一,而且肝肾都是我们体内重要的排毒器官,因此肝肾功能低下的人更应该做好检查,以免功能衰退却不自知。其实,“未阳”的人们也应该进行一次全身体检,这是为了检查自己的免疫系统。中国工程院院士张伯礼也表示,这个病是病毒和人体免疫力博弈斗争的结果,抵抗力提高了,就不容易被感染。据官方发布的中国健康大数据显示:29%的中国人患有慢性病,1亿多人血脂高,2.7亿人患有高血压,9240万人患有糖尿病。这些慢性病患者被确诊前,都觉得自己的身体还算不错,都觉得自己只是有些小毛病。其实这个想法是错的,因为没有人能仅凭肉眼观察和自我感觉来准确判断自己的身体状况。所以说,在这“后新冠时代”我们一定要做体检,检查自己的身体,筛查出自己身体的病理状态或亚健康状态,及时作出调整,使自己能时刻保持最强的免疫力。老年人感染后更需警惕!建议老年患者,更应该在痊愈之后给自己安排一个全身体检。有一种病叫静默型低氧血症。不仅是老年人,很多中青年也会中招。“沉默性低氧血症又称静默型低氧血症,血氧饱和度低于正常(<93%),但是并没有表现出呼吸困难的症状,比如胸闷气短、喘憋、咳嗽咳痰等,但是双肺已经损伤,身体组织已经缺氧。如果没有及时发现,有可能可以进展为急性呼吸衰竭而危及生命。
新冠病毒感染后,部分病人可能进展为重型,其中大约有5%左右表现为“沉默性低氧血症”。调查显示大于65岁以上老年人,肥胖、吸烟、慢性阻塞性肺病、糖尿病、肿瘤患者等容易发生“沉默性低氧血症”。需要高度重视老人感染新冠病毒后的“沉默性低氧血症”问题,通过仔细观察,检测老人轻微活动后的指脉氧变化,及时发现,尽早就医。
冬季天气寒冷,是呼吸道感染性疾病高发的季节,老年人是脆弱人群,也是呼吸道感染性疾病重症的高危人群。 家中老人感染新冠后一定要加强监测,老年人对机体异常的反应可能不会像年轻人那样明显。比如有些老年人已经体温升高了,却并不知道自己发烧。此外,老年人感染新冠后有可能会发生“沉默性低氧”,家人觉得他的呼吸状态似乎还挺平稳,但血氧饱和度可能已经比较低了。我们也看到大量病人的重症确实是由于病毒性肺炎造成,多发生在脆弱人群,比如65岁以上老人、肥胖、合并基础疾病、肿瘤、免疫缺陷等。对此,建议老年患者,更应该在痊愈之后给自己安排一个全身体检。如今迎来了大转折,全民放开。每个人都是自己的健康第一责任人。给自己的身体排查隐患 ,让它有足够的实力能支撑得起您的家庭。